Aller au contenu principal

Soit 34,00 après déduction fiscale de 66%

Je fais un don mensuel Je fais un don IFI
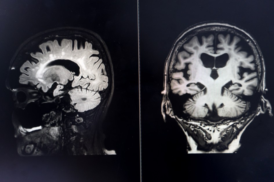
brain MRI for education Dementia Mix type stroke VaD

La démence

Causes, mécanismes biologiques, symptômes, diagnostic et traitements

Dernière mise à jour : 18/12/2025 Temps de lecture : 1min

Trouble irréversible de la mémoire, du raisonnement, du comportement, de la personnalité, de la motivation et parfois de l’humeur, la démence atteint près de 710 000 personnes en France (source : assurance maladie juillet 2025). Si la maladie d’Alzheimer est à l’origine de 60 à 70 % des cas, d’autres maladies ou lésions cérébrales conduisent à cette perte des facultés mentales.

  • La carte de la France métropolitaine et des DOM-TOM
    710 mille personnes

    touchées par une démence en France (source : fiche assurance maladie juillet 2025)

La démence est un terme générique utilisé pour décrire un ensemble de troubles neurologiques irréversibles affectant le cerveau et s’aggravant avec le temps. Il s’agit d’une perte de la capacité à penser, se souvenir, raisonner ou avoir un comportement adapté, à des niveaux qui affectent la vie quotidienne.
Si la démence la plus fréquente est associée à la maladie d’Alzheimer, d’autres maladies neurologiques ou lésions cérébrales sont à l’origine de ce syndrome. La démence est une des principales causes de dépendance chez les personnes âgées bien qu’elle puisse survenir à tout âge. Elle affecte chaque personne différemment en fonction des causes sous-jacentes. Le diagnostic de démence repose sur une évaluation neuropsychologique qui implique de dépister des altérations des capacités cognitives, telles que :

Capacité cognitiveExemple de tests
La désorientation dans le temps et l’espaceDessiner une maison, une horloge ou imiter des postures des mains plus ou moins complexes.
L’apraxie (troubles de l’exécution des mouvements)Toucher son nez avec la main droite ou prendre un morceau de papier dans la main gauche, le plier et le mettre sur le bureau ou mettre le doigt gauche sur votre nez et tirer la langue.
L’aphasie (trouble du langage)Citer en 1 minute le plus de mots possibles appartenant à une même catégorie (vêtements, fruits...) ou nommer des objets présents dans la salle d’examen.
Les troubles de l’attention et de la concentrationÉpeler un mot de 5 lettres à l’endroit puis à l’envers. Le mot « monde » est souvent utilisé.
L’amnésie à court termeMémoriser une liste de 3 objets et les réciter après 5 minutes.
L’amnésie à long termeCiter la marque de votre 1re voiture ou la ville de votre enfance.
Les altérations de jugementDemander au patient ce qu’il ferait s’il trouvait une carte d’identité sur le trottoir devant l’adresse de la personne, la mettre dans la boite aux lettres ou la jeter.
Les troubles du raisonnementTrouver le point commun entre 3 ou 4 objets, ce sont tous des fruits, ils sont tous verts…
Symptômes et diagnostics

Symptômes et diagnostics de la démence

Seul un neurologue peut poser le diagnostic de démence à l’aide de ces tests, chacun d’eux n’étant ni nécessaire ni suffisant. Par ailleurs, d’autres examens tels que l’imagerie cérébrale par IRM ou une recherche de mutation génétique peuvent conforter ou infirmer le diagnostic. D’autre part, chacune des capacités cognitives évaluée par ces tests peut être diminuée chez le sujet âgé sans que ce dernier ne soit atteint de démence.

DémencesMaladie d'AlzheimerDémence fronto-temporaleDémence vasculaireDémence à corps de LewyAutres démences
CaractéristiquesPlaques amyloïdesDégénérescence du lobe frontal et du lobe temporal du cerveauMaladie ou lésion des vaisseaux amenant le sang au cerveauDépôts de protéines (corps de Lewy) dans les cellules nerveuses

Maladie de Parkinson

Maladie à prions

Sclérose latérale amyotrophique

Causes et mécanismes biologiques

Causes et mécanismes biologiques de la démence

Les causes de la démence sont multiples.

La maladie d'Alzheimer

La maladie d'Alzheimer est souvent connue pour les pertes de mémoire que présentent les patients. C’est une maladie évolutive qui commence généralement par un syndrome amnésique isolé, progressif et dont le patient n’est en général pas conscient (anosognosie). Progressivement s’installent des troubles du langage (aphasie), de l’écriture (dysgraphie), du mouvement (apraxie) et la perte de la capacité à reconnaître des objets et des visages (agnosie).
Le diagnostic est clinique et fait aujourd’hui appel à des tests diagnostiques performants tels qu’une évaluation neuropsychologique complète des fonctions cognitives, des examens d’imagerie tels que l’IRM et la TEP au glucose qui mettent en évidence les zones du cerveau en souffrance, et enfin la ponction lombaire qui est capable de montrer les signes biologiques de la maladie, c’est-à-dire la présence de dépôts anormaux de protéine amyloïde et de protéine tau.

Pour en savoir plus sur la maladie d'Alzheimer

Imagerie cérébrale Lubetzki Stankoff

La maladie d'Alzheimer

Face à l’allongement de la durée de vie et à la complexité des mécanismes biologiques à l’origine des maladies neurodégénératives, on estime que 1,2 millions de personnes sont touchées par la maladie d’Alzheimer en 2023 en France. Avec 225 000...

Lire la suite

La dégénérescence ou démence fronto-temporale (DFT)

La démence fronto-temporale est d’abord suspectée par les proches du patient qui rapportent des modifications récentes du comportement, un changement de la personnalité ou des difficultés de langage.

Les symptômes de la DFT sont causés par un dysfonctionnement des régions frontales et temporales du cerveau dans lesquelles on observe l’accumulation de protéines anormales qui provoque la mort des neurones et une atrophie cérébrale.

Ces régions sont impliquées dans des fonctions aussi diverses que le contrôle de nos comportements, en particulier de nos comportements sociaux, la motivation et la prise d’initiative, le contrôle des émotions, le langage. Environ 30 % des démences fronto-temporales sont héréditaires et ont pour origine une mutation génétique.

Pour en savoir plus sur les démence ou dégénérescences fronto-temporales

Frontlab DFT

Les dégénérescences fronto-temporales (DFT)

Les dégénérescences lobaires fronto-temporales (DLFT), anciennement appelées démences fronto-temporales ou maladie de Pick, sont des maladies neurodégénératives cognitives et comportementales. Environ 10 à 20 000 patients sont atteints par cette...

Lire la suite

La démence à corps de Lewy

La démence à corps de Lewy est la seconde maladie neurodégénérative la plus fréquente après la maladie d’Alzheimer. C’est une maladie
complexe qui emprunte certains symptômes à la maladie d’Alzheimer et à la maladie de Parkinson, donc difficile à diagnostiquer. Comme dans la
maladie de Parkinson, les patients présentent une lenteur des mouvements et une instabilité précoce mais les tremblements sont rares.
La démence à corps de Lewy se caractérise par des dépôts anormaux d’une protéine appelée alpha-synucléine, les corps de Lewy, à l’intérieur des neurones.
Les symptômes sont directement liés à la localisation des agrégats d’alpha-synucléine dans le cerveau. Les symptômes principaux de cette démence sont des troubles de l’orientation spatio-temporelle, de l’attention, des fonctions exécutives mais également des hallucinations et des troubles du sommeil.
L’alternance de périodes sans et avec symptômes, habituellement avec une périodicité de quelques jours à quelques semaines, mais parfois au cours du même entretien est une caractéristique spécifique de la démence à corps de Lewy.

La démence vasculaire

La démence vasculaire est la conséquence d’un accident vasculaire cérébral ou de plusieurs petits infarctus cérébraux qui entraîne une perte neuronale suffisante pour atteindre les fonctions cognitives. Elle représente environ 10 % des démences soit environ 70 000 personnes en France.

Les symptômes précoces de cette démence sont des troubles de la fonction exécutive, des difficultés à initier des actions ou des tâches, un ralentissement de la pensée, des modifications de la personnalité et de l’humeur, des troubles du langage et plus tardivement des pertes de mémoire. Les symptômes peuvent varier selon la localisation des infarctus.

L'encéphalopathie traumatique chronique

L'encéphalopathie traumatique chronique est une maladie neurodégénérative secondaire à des traumatismes crâniens répétés. Elle se développe majoritairement après 60 ans chez des anciens sportifs, rugbymans, boxeurs ou joueurs de football américain.

Les symptômes de cette démence sont principalement des troubles de l’humeur qui se développent précocement puis, une irritabilité excessive, une impulsivité voire de l’agressivité et des troubles de la mémoire plus tardivement.

Traitements

Traitements de la démence

Il n’existe pas à ce jour de traitement efficace contre la démence qui reste la principale cause de perte d’autonomie des personnes âgées et affecte fortement la vie quotidienne de leurs aidants. 

À l'Institut du Cerveau

À l'Institut du Cerveau

À l’Institut du Cerveau, les recherches menées sur la démence visent à mieux comprendre les mécanismes sous-jacents à ce syndrome quel que soit son origine afin d’identifier des thérapies efficaces.

Nos actualités sur le sujet

À la recherche de marqueurs d’imagerie dans la démence frontotemporale
À la recherche de marqueurs d’imagerie dans la démence frontotemporale
Et si l’étude des relations entre différents réseaux cérébraux nous permettait de mieux comprendre la démence frontotemporale ? Cette maladie dégénérative, d’évolution variable, est souvent diagnostiquée de manière tardive lorsque les signes...
07.01.2025 Recherche, Science & Santé
image
Démences ou Alzheimer : Un test simple pourrait les différencier
Les patients atteints de démences fronto-temporales nécessitent une prise en charge médicale bien spécifique et adaptée. Pourtant, cette maladie est encore trop souvent confondue avec la maladie d’Alzheimer. Des chercheurs et cliniciens de l’Institut...
22.01.2016 Recherche, Science & Santé
Voir toutes nos actualités